The photos you provided may be used to improve Bing image processing services.
Privacy Policy
|
Terms of Use
Can't use this link. Check that your link starts with 'http://' or 'https://' to try again.
Unable to process this search. Please try a different image or keywords.
Try Visual Search
Search, identify objects and text, translate, or solve problems using an image
Drag one or more images here,
upload an image
or
open camera
Drop images here to start your search
To use Visual Search, enable the camera in this browser
All
Search
Images
Inspiration
Create
Collections
Videos
Maps
News
More
Shopping
Flights
Travel
Notebook
Top suggestions for Normal Appendix MRI
Appendix MRI
Normal Appendix MRI
Radiology
Appendix
On CT
Normal Appendix
CT Scan
Normal Appendix
On Ultrasound
Normal Appendix MRI
Pregnancy
Pregnant
Appendix MRI
Normal Appendix
Us
A Ruptured
Appendix
Appendicitis
MRI
MRI Appendix
Protocol
Appendix MRI
Coronal
Appemdix
MRI
Normal Appendix
Size Ultrasound
Abnormal Appendix
Ultrasound
MRI
Master Appendix
Normal Appendix
Diameter
Appendix MRI
Axial
Appendix
Tumor MRI
MRI Appendix
Anatomy
Appendix MRI
Non Contrast
Appendix MRI
Sag
Normal Appendix
vs Appendicitis
Appendix On MRI
Sagital View
Inflamed Appendix
Ultrasound
Appendisitis
MRI
Appendix
Location MRI
Normal Appendix
USG
Normal Appendix
Appearance
Appendix
in Female
Apendex
MRI
Positive Appendix
Ultrasound
Normal Appendix
On Colonoscopy
Appendix MRI
Transvesre
Appendix
Measurement Ultrasound
Sagittal
MRI Appendix
Position of
Appendix On MRI
Acute Appendicitis
On CT Scan
Apendix On a
MRI
Appendix
Sono
Normal Appendix
X-ray
Appendicitis
Imaging
Normal Appendix
Child
Appendix
Cancer MRI
Appendix
Mass MRI
Ruptured Appendix
Symptoms
Appendix MRI
Labelled
Appendix On MRI
Cor
MRI
Scan for Appendicitis
Perforated Appendix
with Abscess
Explore more searches like Normal Appendix MRI
Axial
View
15 Weeks
Pregnant
34 Weeks
Pregnant
Mucinous
Adenocarcinoma
Central
Fluid
Pregnant
Lady
Pregnant
Women
5 Weeks
Pregnant
Clip
Diagram
Location
Human
Master
Normal
Pathology
Axial
Lesion
Finding
Coronal
Google
Pedi
Patient
Planning
Cecum
People interested in Normal Appendix MRI also searched for
T2 Non Contrast
Ce Acum
Report
Location
Coronal
Master
Pregnant
Autoplay all GIFs
Change autoplay and other image settings here
Autoplay all GIFs
Flip the switch to turn them on
Autoplay GIFs
Image size
All
Small
Medium
Large
Extra large
At least... *
Customized Width
x
Customized Height
px
Please enter a number for Width and Height
Color
All
Color only
Black & white
Type
All
Photograph
Clipart
Line drawing
Animated GIF
Transparent
Layout
All
Square
Wide
Tall
People
All
Just faces
Head & shoulders
Date
All
Past 24 hours
Past week
Past month
Past year
License
All
All Creative Commons
Public domain
Free to share and use
Free to share and use commercially
Free to modify, share, and use
Free to modify, share, and use commercially
Learn more
Clear filters
SafeSearch:
Moderate
Strict
Moderate (default)
Off
Filter
Appendix MRI
Normal Appendix MRI
Radiology
Appendix
On CT
Normal Appendix
CT Scan
Normal Appendix
On Ultrasound
Normal Appendix MRI
Pregnancy
Pregnant
Appendix MRI
Normal Appendix
Us
A Ruptured
Appendix
Appendicitis
MRI
MRI Appendix
Protocol
Appendix MRI
Coronal
Appemdix
MRI
Normal Appendix
Size Ultrasound
Abnormal Appendix
Ultrasound
MRI
Master Appendix
Normal Appendix
Diameter
Appendix MRI
Axial
Appendix
Tumor MRI
MRI Appendix
Anatomy
Appendix MRI
Non Contrast
Appendix MRI
Sag
Normal Appendix
vs Appendicitis
Appendix On MRI
Sagital View
Inflamed Appendix
Ultrasound
Appendisitis
MRI
Appendix
Location MRI
Normal Appendix
USG
Normal Appendix
Appearance
Appendix
in Female
Apendex
MRI
Positive Appendix
Ultrasound
Normal Appendix
On Colonoscopy
Appendix MRI
Transvesre
Appendix
Measurement Ultrasound
Sagittal
MRI Appendix
Position of
Appendix On MRI
Acute Appendicitis
On CT Scan
Apendix On a
MRI
Appendix
Sono
Normal Appendix
X-ray
Appendicitis
Imaging
Normal Appendix
Child
Appendix
Cancer MRI
Appendix
Mass MRI
Ruptured Appendix
Symptoms
Appendix MRI
Labelled
Appendix On MRI
Cor
MRI
Scan for Appendicitis
Perforated Appendix
with Abscess
1536×497
mrimaster.com
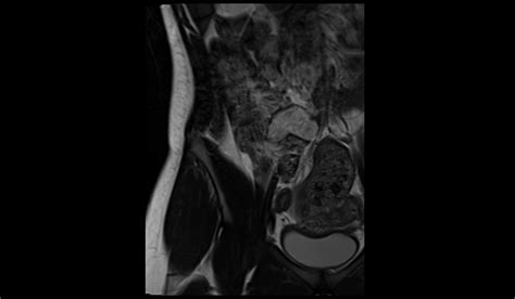
Appendix MRI | Appendix MRI Protocol and Planning
1024×598
mrimaster.com
appendix MRI localiser images - mrimaster
609×210
researchgate.net
Nonsedated MRI with normal appendix. MRI in a 5-year-old girl with ...
1275×745
mrimaster.com
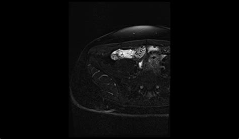
appendix MRI T1 VIBE axial images
Related Products
Normal Appendix Size
Removal Surgery
Location Diagram
1275×745
mrimaster.com
appendix MRI T1 VIBE axial images
1275×745
mrimaster.com
appendix MRI T1 VIBE axial images
1275×745
mrimaster.com
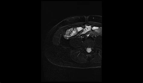
appendix MRI T2 tse coronal images
1275×745
mrimaster.com
appendix MRI T2 tse coronal images
1275×745
mrimaster.com
appendix MRI T2 tse coronal images
Explore more searches like
Normal
Appendix MRI
Axial View
15 Weeks Pregnant
34 Weeks Pregnant
Mucinous Adenocarcin
…
Central Fluid
Pregnant Lady
Pregnant Women
5 Weeks Pregnant
Clip
Diagram
Location
Human
1024×598
mrimaster.com
appendix MRI T2 tse coronal images
1275×745
mrimaster.com
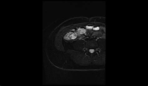
appendix MRI T2 tse axial images
1275×745
mrimaster.com
appendix MRI T2 tse axial images
1275×745
mrimaster.com
appendix MRI T2 tse axial images
1275×745
mrimaster.com
appendix MRI T2 tse axial images
1275×745
mrimaster.com
appendix MRI T2 tse axial images
1275×745
mrimaster.com
appendix MRI T2 tse axial images
1275×745
mrimaster.com
appendix MRI T2 tse sagittal images
1275×745
mrimaster.com
appendix MRI T2 tse sagittal images
1275×745
mrimaster.com
appendix MRI T2 tse sagittal images
1275×745
mrimaster.com
appendix MRI T2 tse sagittal images
1024×598
mrimaster.com
appendix MRI T2 tse sagittal images
People interested in
Normal
Appendix MRI
also searched for
T2 Non Contrast Ce Acum
Report
Location Coronal
Master Pregnant
525×462
sugarytooth.wordpress.com
normal appendix – SIMPLY RADIOLOGY
1275×745
mrimaster.com
appendix MRI T2 tse fat sat coronal images
1275×745
mrimaster.com
appendix MRI T2 tse fat sat coronal images
1024×598
mrimaster.com
appendix MRI T2 tse fat sat coronal images
1024×598
mrimaster.com
appendix MRI T2 tse fat sat coronal images
1275×745
mrimaster.com
appendix MRI T2 tse fat sat axial images
1024×598
mrimaster.com
appendix MRI T2 tse fat sat axial images
1275×745
mrimaster.com
appendix MRI T2 tse fat sat axial images
1275×745
mrimaster.com
appendix MRI T2 tse fat sat axial images
1275×745
mrimaster.com
appendix MRI T2 tse fat sat axial images
320×320
researchgate.net
Acute appendicitis detected on T2-weight…
821×203
researchgate.net
Normal appendix. a, b MRI in a 9-year-old girl with 1 day of right ...
947×616
wikidoc.org
Appendicitis MRI - wikidoc
1536×1024
theradiologictechnologist.com
Demystifying the Puzzle: Appendicitis vs Normal Appendix CT Scan
Some results have been hidden because they may be inaccessible to you.
Show inaccessible results
See more images
Recommended for you
Sponsored
Report an inappropriate content
Please select one of the options below.
Not Relevant
Offensive
Adult
Child Sexual Abuse
Feedback